Вариант № 5676586

ЕГЭ по биологии 30.03.2023. Досрочная волна. Вариант 2

При вы­пол­не­нии за­да­ний с крат­ким от­ве­том впи­ши­те в поле для от­ве­та цифру, ко­то­рая со­от­вет­ству­ет но­ме­ру пра­виль­но­го от­ве­та, или число, слово, по­сле­до­ва­тель­ность букв (слов) или цифр. Ответ сле­ду­ет за­пи­сы­вать без про­бе­лов и каких-либо до­пол­ни­тель­ных сим­во­лов. Дроб­ную часть от­де­ляй­те от целой де­ся­тич­ной за­пя­той. Еди­ни­цы из­ме­ре­ний пи­сать не нужно.


Если ва­ри­ант задан учи­те­лем, вы мо­же­те впи­сать или за­гру­зить в си­сте­му от­ве­ты к за­да­ни­ям с раз­вер­ну­тым от­ве­том. Учи­тель уви­дит ре­зуль­та­ты вы­пол­не­ния за­да­ний с крат­ким от­ве­том и смо­жет оце­нить за­гру­жен­ные от­ве­ты к за­да­ни­ям с раз­вер­ну­тым от­ве­том. Вы­став­лен­ные учи­те­лем баллы отоб­ра­зят­ся в вашей ста­ти­сти­ке.


Версия для печати и копирования в MS Word
1

Рас­смот­ри­те таб­ли­цу «Био­ло­гия  — ком­плекс­ная наука». За­пи­ши­те в от­ве­те про­пу­щен­ный тер­мин, обо­зна­чен­ный во­про­си­тель­ным зна­ком.

 

НаукаИл­лю­стра­ция объ­ек­та изу­че­ния
Эко­ло­гия
?

Ответ:

2

Ис­сле­до­ва­тель изу­чал осо­бен­но­сти стро­е­ния со­су­дов боль­шо­го круга кро­во­об­ра­ще­ния. Как по мере уда­ле­ния от серд­ца из­ме­нит­ся про­свет и тол­щи­на стен­ки ар­те­рий?

Для каж­дой ве­ли­чи­ны опре­де­ли­те со­от­вет­ству­ю­щий ха­рак­тер её из­ме­не­ния.

 

1.  Уве­ли­чи­лась.

2.  Умень­ши­лась.

3.  Не из­ме­ни­лась.

 

За­пи­ши­те в таб­ли­цу вы­бран­ные цифры для каж­дой ве­ли­чи­ны. Цифры в от­ве­те могут по­вто­рять­ся.

 

Про­свет ар­те­рийТол­щи­на стен­ки ар­те­рий

Ответ:

3
Тип 3 № 55945
i

У крас­ной смо­ро­ди­ны в ре­зуль­та­те опло­до­тво­ре­ния об­ра­зу­ет­ся зи­го­та, со­дер­жа­щая 16 хро­мо­сом. Сколь­ко хро­мо­сом со­дер­жит­ся в яй­це­клет­ке крас­ной смо­ро­ди­ны? В ответ за­пи­ши­те толь­ко число.


Ответ:

4

Ка­ко­ва ве­ро­ят­ность (в %) по­лу­че­ния го­мо­зи­гот­но­го ор­га­низ­ма в потом­стве от мо­но­ги­брид­но­го скре­щи­ва­ния го­мо­зи­гот­ной и ге­те­ро­зи­гот­ной особи? В ответ за­пи­ши­те толь­ко число.


Ответ:

5
Тип 5 № 55947
i
Развернуть

Каким но­ме­ром на ри­сун­ке обо­зна­че­на ней­ру­ла?


Ответ:

6
Тип 6 № 55948
i
Развернуть

Уста­но­ви­те со­от­вет­ствие между ха­рак­те­ри­сти­ка­ми и струк­ту­ра­ми, обо­зна­чен­ны­ми на ри­сун­ке циф­ра­ми 1, 2, 3: к каж­дой по­зи­ции, дан­ной в пер­вом столб­це, под­бе­ри­те со­от­вет­ству­ю­щую по­зи­цию из вто­ро­го столб­ца.

 

 

ХА­РАК­ТЕ­РИ­СТИ­КА

А)  Дроб­ле­ние за­ро­ды­ша

Б)  Со­дер­жит не­диф­фе­рен­ци­ро­ван­ные клет­ки

В)  Об­ра­зу­ет­ся га­страль­ная по­лость

Г)  Фор­ми­ру­ют­ся за­ро­ды­ше­вые лист­ки

Д)  Часть кле­ток впя­чи­ва­ет­ся в по­лость

Е)  Ре­зуль­тат сли­я­ния гамет

СТРУК­ТУ­РЫ

1)  1

2)  2

3)  3

 

За­пи­ши­те в ответ цифры, рас­по­ло­жив их в по­ряд­ке, со­от­вет­ству­ю­щем бук­вам:

АБВГДЕ

Ответ:

7
Тип 7 № 55949
i

Вы­бе­ри­те три вер­ных от­ве­та из шести и за­пи­ши­те в таб­ли­цу цифры, под ко­то­ры­ми они ука­за­ны.

Для ха­рак­те­ри­сти­ки ри­бо­сом можно ис­поль­зо­вать сле­ду­ю­щие тер­ми­ны:

 

1)  субъ­еди­ни­цы;

2)  цен­три­о­ли;

3)  по­ли­са­ха­ри­ды;

4)  транс­ля­ция;

5)  ре­пли­ка­ция;

6)  РНК.


Ответ:

8
Тип 8 № 55950
i

Уста­но­ви­те по­сле­до­ва­тель­ность про­цес­сов ми­то­за. За­пи­ши­те в таб­ли­цу со­от­вет­ству­ю­щую по­сле­до­ва­тель­ность цифр.

 

1.  Рас­хож­де­ние од­но­хро­ма­тид­ных хро­мо­сом к по­лю­сам.

2.  Раз­ру­ше­ние ядер­ной мем­бра­ны.

3.  Фор­ми­ро­ва­ние новой ядер­ной мем­бра­ны.

4.  Раз­де­ле­ние хро­ма­тид в об­ла­сти цен­тро­ме­ры.

5.  Рас­по­ло­же­ние хро­мо­сом по эк­ва­то­ру клет­ки.


Ответ:

9
Развернуть

Какой циф­рой на ри­сун­ке ука­зан плод яб­ло­ко?


Ответ:

10
Развернуть

Уста­но­ви­те со­от­вет­ствие между ха­рак­те­ри­сти­ка­ми и ти­па­ми пло­дов, обо­зна­чен­ны­ми на ри­сун­ке выше циф­ра­ми 1, 2, 3: к каж­дой по­зи­ции, дан­ной в пер­вом столб­це, под­бе­ри­те со­от­вет­ству­ю­щую по­зи­цию из вто­ро­го столб­ца.

 

ХА­РАК­ТЕ­РИ­СТИ­КИ

А)  со­зре­ва­ет в со­цве­тии кор­зин­ка

Б)  око­ло­плод­ник срас­та­ет­ся с се­мен­ной ко­жу­рой

В)  ха­рак­те­рен для бо­бо­вых

Г)  ха­рак­те­рен для оду­ван­чи­ка, ва­силь­ка, ре­пей­ни­ка

Д)  со­дер­жит в за­ро­ды­ше се­ме­ни одну се­мя­до­лю

Е)  рас­про­стра­ня­ет­ся вет­ром

ТИПЫ ПЛО­ДОВ

1)  1

2)  2

3)  3

 

За­пи­ши­те в ответ цифры, рас­по­ло­жив их в по­ряд­ке, со­от­вет­ству­ю­щем бук­вам:

АБВГДЕ

Ответ:

11
Тип 11 № 55953
i

Вы­бе­ри­те три вер­ных от­ве­та из шести и за­пи­ши­те в таб­ли­цу цифры, под ко­то­ры­ми они ука­за­ны.

Май­ский жук и ка­пуст­ная бе­лян­ка от­но­сят­ся к клас­су На­се­ко­мые, так как у них:

 

1)  вы­де­ле­ние маль­пи­ги­е­вы­ми со­су­да­ми;

2)  на го­ло­ве одна пара уси­ков;

3)  име­ет­ся зе­ле­ная же­ле­за;

4)  три от­де­ла тела: го­ло­ва, грудь, брюш­ко;

5)  ор­га­ны ды­ха­ния  — ле­гоч­ные мешки;

6)  пря­мое раз­ви­тие.


Ответ:

12
Тип 12 № 55954
i

Уста­но­ви­те по­сле­до­ва­тель­ность си­сте­ма­ти­че­ских групп, на­чи­ная с са­мо­го низ­ко­го ранга.

За­пи­ши­те в таб­ли­цу со­от­вет­ству­ю­щую по­сле­до­ва­тель­ность цифр.

 

1.  Мно­го­ще­тин­ко­вые черви.

2.  Мор­ской пес­ко­жил.

3.  Коль­ча­тые черви.

4.  Пес­ко­жи­лы.

5.  Жи­вот­ные.

6.  Эу­ка­ри­о­ты.


Ответ:

13
Развернуть

Какой циф­рой на ри­сун­ке обо­зна­че­на ле­гоч­ная ар­те­рия?


Ответ:

14
Развернуть

Уста­но­ви­те со­от­вет­ствие между ха­рак­те­ри­сти­ка­ми и струк­ту­ра­ми, обо­зна­чен­ны­ми на ри­сун­ке выше циф­ра­ми 1, 2: к каж­дой по­зи­ции, дан­ной в пер­вом столб­це, под­бе­ри­те со­от­вет­ству­ю­щую по­зи­цию из вто­ро­го столб­ца.

 

 

ХА­РАК­ТЕ­РИ­СТИ­КИ

А)  Свя­за­на с по­лы­ми ве­на­ми

Б)  Кровь с вы­со­ким со­дер­жа­ни­ем ок­си­ге­мо­гло­би­на

В)  По­лу­ча­ет кровь из ле­гоч­ных вен

Г)  Со­дер­жит ве­ноз­ную кровь

Д)  За­мы­ка­ет малый круг кро­во­об­ра­ще­ния

Е)  От­де­ля­ет­ся от же­лу­доч­ка трех­створ­ча­тым кла­па­ном

СТРУК­ТУ­РЫ

1)  1

2)  2

 

За­пи­ши­те в ответ цифры, рас­по­ло­жив их в по­ряд­ке, со­от­вет­ству­ю­щем бук­вам:

АБВГДЕ

Ответ:

15

Вы­бе­ри­те три вер­ных от­ве­та из шести и за­пи­ши­те в таб­ли­цу цифры, под ко­то­ры­ми они ука­за­ны.

Для гор­мо­нов ха­рак­тер­ны сле­ду­ю­щие при­зна­ки:

 

1)  слу­жат био­ка­та­ли­за­то­ра­ми;

2)  яв­ля­ют­ся ис­клю­чи­тель­но бел­ка­ми;

3)  син­те­зи­ру­ют­ся клет­ка­ми кож­но­го эпи­дер­ми­са;

4)  вы­де­ля­ют­ся же­ле­за­ми внут­рен­ней сек­ре­ции;

5)  транс­пор­ти­ру­ют­ся кро­вью;

6)  дей­ству­ют в низ­ких кон­цен­тра­ци­ях.


Ответ:

16
Тип 16 № 55958
i

Уста­но­ви­те пра­виль­ную по­сле­до­ва­тель­ность со­под­чи­не­ния струк­тур, на­чи­ная с наи­боль­шей.

За­пи­ши­те в таб­ли­цу со­от­вет­ству­ю­щую по­сле­до­ва­тель­ность цифр.

 

1.  Обо­лоч­ки глаза.

2.  Ор­га­ны чувств.

3.  Ро­доп­син.

4.  Па­лоч­ка.

5.  Сет­чат­ка.

6.  Глаз­ное яб­ло­ко.


Ответ:

17
Тип 17 № 55959
i

Про­чи­тай­те текст. Вы­бе­ри­те три пред­ло­же­ния, в ко­то­рых даны опи­са­ния фи­зио­ло­ги­че­ско­го кри­те­рия вида Бобр обык­но­вен­ный. За­пи­ши­те в таб­ли­цу цифры, под ко­то­ры­ми они ука­за­ны.

 

(1) Длина тела бобра до­сти­га­ет 1–1,3 метра, а масса тела  — 30–32 кг. (2) Бобры пред­по­чи­та­ют се­лить­ся по бе­ре­гам мед­лен­но те­ку­щих речек, ста­риц, пру­дов и озёр, во­до­хра­ни­лищ, ир­ри­га­ци­он­ных ка­на­лов и ка­рье­ров. (3) Пищей для бобра слу­жит в ос­нов­ном кора де­ре­вьев и мо­ло­дые ветки. (4) Пе­ре­ва­ри­ва­ние цел­лю­ло­зы рас­ти­тель­ной пищи про­ис­хо­дит в тол­стом ки­шеч­ни­ке. (5) Бобры могут под водой за­дер­жи­вать ды­ха­ние на 15 минут, про­плы­вая при этом до 750 мет­ров. (6) Потом­ство бобры остав­ля­ют один раз в год, про­дол­жи­тель­ность бе­ре­мен­но­сти со­став­ля­ет 105–107 дней.


Ответ:

18

Вы­бе­ри­те три вер­ных от­ве­та из шести и за­пи­ши­те в таб­ли­цу цифры, под ко­то­ры­ми они ука­за­ны. При­ме­ра­ми есте­ствен­ных эко­си­стем яв­ля­ют­ся:

 

1)  чай­ная план­та­ция;

2)  при­уса­деб­ная па­се­ка;

3)  ель­ник-⁠кис­лич­ник;

4)  лес­ное озеро;

5)  вер­хо­вое бо­ло­то;

6)  ку­ку­руз­ное поле.


Ответ:

19
Тип 19 № 55961
i

Уста­но­ви­те со­от­вет­ствие между фор­ма­ми есте­ствен­но­го от­бо­ра и при­ме­ра­ми, их ил­лю­стри­ру­ю­щи­ми: к каж­дой по­зи­ции, дан­ной в пер­вом столб­це, под­бе­ри­те со­от­вет­ству­ю­щую по­зи­цию из вто­ро­го столб­ца.

 

 

ПРИ­МЕ­РЫ ОР­ГА­НИЗ­МОВ

А)  по­яв­ле­ние тем­ных ба­бо­чек в про­мыш­лен­ных рай­о­нах

Б)  су­ще­ство­ва­ние ла­ти­ме­рии в со­вре­мен­ной фауне

В)  со­хра­не­ние длины ушной ра­ко­ви­ны у зай­цев

Г)  по­яв­ле­ние по­пу­ля­ции бак­те­рий, устой­чи­вых к ан­ти­био­ти­кам

Д)  фор­ми­ро­ва­ние кар­ли­ко­вой и круп­ной рас щуки в одном водоёме

РОЛЬ В ЭКО­СИ­СТЕ­МЕ

1)  ста­би­ли­зи­ру­ю­щий

2)  дви­жу­щий

3)  диз­руп­тив­ный

 

За­пи­ши­те в ответ цифры, рас­по­ло­жив их в по­ряд­ке, со­от­вет­ству­ю­щем бук­вам:

АБВГД

Ответ:

20
Тип Д20 № 55962
i

Уста­но­ви­те по­сле­до­ва­тель­ность зве­ньев в пи­ще­вой цепи.

За­пи­ши­те в таб­ли­цу со­от­вет­ству­ю­щую по­сле­до­ва­тель­ность цифр.

 

1)  цапля белая

2)  ля­гуш­ка тра­вя­ная

3)  ге­рань лу­го­вая

4)  ба­боч­ка-кра­пив­ни­ца

5)  ли­си­ца обык­но­вен­ная


Ответ:

21
Тип 20 № 55963
i

Про­ана­ли­зи­руй­те ри­су­нок. Опре­де­ли­те функ­ци­о­наль­ную груп­пу в эко­си­сте­ме, тро­фи­че­ский уро­вень и ха­рак­тер пи­та­ния жи­вот­но­го, череп ко­то­ро­го по­ка­зан на ри­сун­ке. За­пол­ни­те пу­стые ячей­ки таб­ли­цы, ис­поль­зуя эле­мен­ты, при­ведённые в спис­ке. Для каж­дой ячей­ки, обо­зна­чен­ной бук­вой, вы­бе­ри­те со­от­вет­ству­ю­щий эле­мент из пред­ло­жен­но­го спис­ка.

 

Функ­ци­о­наль­ная груп­паТро­фи­че­ский уро­веньХа­рак­тер пи­та­ния
_____________ (А)_____________ (Б)_____________ (В)

 

Спи­сок эле­мен­тов

1.  Рас­ти­тель­но­яд­ное.

2.  Пло­то­яд­ное.

3.  Кон­су­мент II по­ряд­ка.

4.  Пер­вый.

5.  Кон­су­мент I по­ряд­ка.

6.  Тре­тий.

7.  Вто­рой.

8.  На­се­ко­мо­яд­ное.

 

За­пи­ши­те в таб­ли­цу вы­бран­ные цифры под со­от­вет­ству­ю­щи­ми бук­ва­ми:

AБВ

Ответ:

22

Про­ана­ли­зи­руй­те таб­ли­цу «Гнез­до­ва­ние гра­чей на раз­лич­ных видах де­ре­вьев».

 

Виды де­ре­вьевКо­ли­че­ство гнезд гра­чей (в % от всех за­се­лен­ных де­ре­вьев)
В цен­тре го­ро­даНа окра­и­не го­ро­да
То­поль6867
Дуб148
Бе­ре­за86
Ива713
Дру­гое36
В сумме100100

 

Вы­бе­ри­те все утвер­жде­ния, ко­то­рые можно сфор­му­ли­ро­вать на ос­но­ва­нии ана­ли­за пред­став­лен­ных дан­ных.

 

1.  Грачи вы­би­ра­ют место гнез­до­ва­ния ис­хо­дя из эко­ло­ги­че­ской чи­сто­ты тер­ри­то­рии.

2.  На окра­и­не го­ро­да рас­тет мень­ше дубов, чем в цен­тре.

3.  Пред­по­чи­та­е­мое де­ре­во для гнез­до­ва­ния гра­чей  — то­поль.

4.  За го­ро­дом грачи по­се­ля­ют­ся на ивах чаще, чем в цен­тре го­ро­да.

5.  Чем ближе к цен­тру го­ро­да, тем мень­ше гра­чей.

 

За­пи­ши­те в от­ве­те цифры, под ко­то­ры­ми ука­за­ны вы­бран­ные утвер­жде­ния.


Ответ:

23
Тип 22 № 55965
i
Развернуть

Сфор­му­ли­руй­те ну­ле­вую ги­по­те­зу* для дан­но­го экс­пе­ри­мен­та. Объ­яс­ни­те, по­че­му в дан­ном экс­пе­ри­мен­те же­ла­тель­но было ис­поль­зо­вать груп­пы дро­зо­фил с боль­шой чис­лен­но­стью осо­бей. По­че­му не­об­хо­ди­мо было ра­бо­тать с дро­зо­фи­ла­ми одной чи­стой линии?

*Ну­ле­вая ги­по­те­за  — при­ни­ма­е­мое по умол­ча­нию пред­по­ло­же­ние, что не су­ще­ству­ет связи между двумя на­блю­да­е­мы­ми со­бы­ти­я­ми, фе­но­ме­на­ми.


Решения заданий с развернутым ответом не проверяются автоматически. Запишите решение на бумаге.
На следующей странице вам будет предложено проверить их самостоятельно.

24
Тип 23 № 55966
i
Развернуть

Как можно объ­яс­нить по­лу­чен­ные в экс­пе­ри­мен­те за­ко­но­мер­но­сти? При­ве­ди­те при­ме­ры еще двух фи­зи­че­ских воз­дей­ствий, ко­то­рые имеют такое же вли­я­ние на ор­га­низм. Как на­зы­ва­ет­ся метод се­лек­ции, в ко­то­ром ис­поль­зу­ют­ся такие фи­зи­че­ские воз­дей­ствия? Какие пре­иму­ще­ства имеет этот метод?


Решения заданий с развернутым ответом не проверяются автоматически. Запишите решение на бумаге.
На следующей странице вам будет предложено проверить их самостоятельно.

25
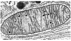
Тип 24 № 55967
i

Какая кле­точ­ная струк­ту­ра по­ка­за­на на ри­сун­ке? При­ве­ди­те по мень­шей мере два ар­гу­мен­та для обос­но­ва­ния своей точки зре­ния. С по­мо­щью ка­ко­го мик­ро­ско­па воз­мож­но по­лу­чить такое изоб­ра­же­ние? Какая ткань, мы­шеч­ная или хря­ще­вая, будет одер­жать такую струк­ту­ру в боль­шем ко­ли­че­стве? Ответ по­яс­ни­те.


Решения заданий с развернутым ответом не проверяются автоматически. Запишите решение на бумаге.
На следующей странице вам будет предложено проверить их самостоятельно.

26
Тип 25 № 55968
i

Кон­цен­тра­ция кис­ло­ро­да в ат­мо­сфе­ре зна­чи­тель­но пре­вы­ша­ет кон­цен­тра­цию кис­ло­ро­да в воде. Од­на­ко рыба, из­влечённая из воды, на­чи­на­ет за­ды­хать­ся и по­ги­ба­ет. Объ­яс­ни­те это яв­ле­ние с по­зи­ции стро­е­ния жабр рыб и про­цес­сов га­зо­об­ме­на, про­хо­дя­щих в них. По­че­му на ры­бал­ке, для того чтобы со­хра­нить рыбу живой, её по­ме­ща­ют в про­хлад­ную воду и не до­пус­ка­ют на­гре­ва­ние воды на солн­це? Ответ по­яс­ни­те.


Решения заданий с развернутым ответом не проверяются автоматически. Запишите решение на бумаге.
На следующей странице вам будет предложено проверить их самостоятельно.

27

Что такое по­пу­ля­ци­он­ные волны? На­зо­ви­те не менее трех при­чин, вы­зы­ва­ю­щих это яв­ле­ние в по­пу­ля­ции боль­ших синиц. Как из­ме­нит­ся ге­но­фонд по­пу­ля­ции синиц при рез­ком сни­же­нии их чис­лен­но­сти с 10 000 до 100 осо­бей? Как такое из­ме­не­ние ге­но­фон­да ска­жет­ся на даль­ней­шей эво­лю­ции по­пу­ля­ции?


Решения заданий с развернутым ответом не проверяются автоматически. Запишите решение на бумаге.
На следующей странице вам будет предложено проверить их самостоятельно.

28
Тип 27 № 55970
i
Развернуть

Из­вест­но, что ком­пле­мен­тар­ные цепи нук­ле­и­но­вых кис­лот ан­ти­па­рал­лель­ны (5’ концу одной цепи со­от­вет­ству­ет 3’ конец дру­гой цепи). Син­тез нук­ле­и­но­вых кис­лот на­чи­на­ет­ся с 5’ конца. Ри­бо­со­ма дви­жет­ся по иРНК в на­прав­ле­нии от 5’ к 3’ концу.

Фраг­мент ДНК имеет сле­ду­ю­щую по­сле­до­ва­тель­ность нук­лео­ти­дов:

5’ - ГЦТ­ГАГГ­Т­ГЦ­ГАЦЦТ - 3’

3’ - ЦГАЦТЦ­ЦАЦ­ГЦТГ­ГА - 5’.

Опре­де­ли­те, какая из цепей ДНК яв­ля­ет­ся мат­рич­ной (транс­кри­би­ру­е­мой), если пер­вая ами­но­кис­ло­та в син­те­зи­ру­е­мом фраг­мен­те по­ли­пеп­ти­да  — ала. Ука­жи­те по­сле­до­ва­тель­ность фраг­мен­та мо­ле­ку­лы иРНК и фраг­мен­та по­ли­пеп­ти­да, со­сто­я­ще­го из пяти ами­но­кис­лот. Объ­яс­ни­те по­сле­до­ва­тель­ность ре­ше­ния за­да­чи. Для вы­пол­не­ния за­да­ния ис­поль­зуй­те таб­ли­цу ге­не­ти­че­ско­го кода. При на­пи­са­нии по­сле­до­ва­тель­но­стей нук­ле­и­но­вых кис­лот ука­зы­вай­те на­прав­ле­ние цепи.


Решения заданий с развернутым ответом не проверяются автоматически. Запишите решение на бумаге.
На следующей странице вам будет предложено проверить их самостоятельно.

29
Тип 28 № 55971
i

Груп­па крови (I) и резус-⁠фак­тор (R)  — ауто­сом­ные не­сцеп­лен­ные при­зна­ки. Груп­па крови кон­тро­ли­ру­ет­ся тремя ал­ле­ля­ми од­но­го гена: i0, IA, IB. Жен­щи­на с тре­тьей груп­пой крови и по­ло­жи­тель­ным резус-⁠фак­то­ром вышла замуж за муж­чи­ну с пер­вой груп­пой крови и от­ри­ца­тель­ным резус-⁠фак­то­ром. В этом браке ро­дил­ся сын с от­ри­ца­тель­ным резус–фак­то­ром. Со­ставь­те схему ре­ше­ния за­да­чи. Опре­де­ли­те все воз­мож­ные ге­но­ти­пы ро­ди­те­лей, ге­но­ти­пы и фе­но­ти­пы по­том­ков. Ка­ко­ва ве­ро­ят­ность рож­де­ния в дан­ном браке детей, фе­но­ти­пи­че­ски сход­ных по рас­смат­ри­ва­е­мым при­зна­кам с ма­те­рью?


Решения заданий с развернутым ответом не проверяются автоматически. Запишите решение на бумаге.
На следующей странице вам будет предложено проверить их самостоятельно.
Завершить работу, свериться с ответами, увидеть решения.